"Palec czy papierosy?" Emeryt podjął dramatyczną decyzję. Dziś ma i kciuka i nowe życie
Magnifying Glass Plus Powiększ zdjęcie
"Palec czy papierosy?" Emeryt podjął dramatyczną decyzję. Dziś ma i kciuka i nowe życie

"Palec czy papierosy?" Emeryt podjął dramatyczną decyzję. Dziś ma i kciuka i nowe życie

Autor: SZPITAL PSK BIAŁYSTOK REPRODUKCJA ADAM KARDASZ / SUPER EXPRESS
Magnifying Glass Plus Powiększ zdjęcie
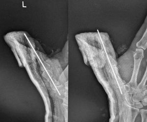
"Palec czy papierosy?" Emeryt podjął dramatyczną decyzję. Dziś ma i kciuka i nowe życie

"Palec czy papierosy?" Emeryt podjął dramatyczną decyzję. Dziś ma i kciuka i nowe życie

Autor: SZPITAL PSK BIAŁYSTOK REPRODUKCJA ADAM KARDASZ / SUPER EXPRESS
Magnifying Glass Plus Powiększ zdjęcie
"Palec czy papierosy?" Emeryt podjął dramatyczną decyzję. Dziś ma i kciuka i nowe życie

"Palec czy papierosy?" Emeryt podjął dramatyczną decyzję. Dziś ma i kciuka i nowe życie

Autor: SZPITAL PSK BIAŁYSTOK REPRODUKCJA ADAM KARDASZ / SUPER EXPRESS
Magnifying Glass Plus Powiększ zdjęcie
"Palec czy papierosy?" Emeryt podjął dramatyczną decyzję. Dziś ma i kciuka i nowe życie

"Palec czy papierosy?" Emeryt podjął dramatyczną decyzję. Dziś ma i kciuka i nowe życie

Autor: SZPITAL PSK BIAŁYSTOK REPRODUKCJA ADAM KARDASZ / SUPER EXPRESS
Powrót
Palec czy papierosy? Emeryt podjął dramatyczną decyzję. Dziś ma i kciuka i nowe życie
Palec czy papierosy? Emeryt podjął dramatyczną decyzję. Dziś ma i kciuka i nowe życie
Palec czy papierosy? Emeryt podjął dramatyczną decyzję. Dziś ma i kciuka i nowe życie
Palec czy papierosy? Emeryt podjął dramatyczną decyzję. Dziś ma i kciuka i nowe życie
Zamknij reklamę za s.
X
Zamknij reklamę
...
powiększone zdjęcie
email